УКЛАДКИ РЕНТГЕНОЛОГИЧЕСКИЕ ДЛЯ ИССЛЕДОВАНИЯ ПРИ ЗАБОЛЕВАНИЯХ ПРИДАТОЧНЫХ ПАЗУХ НОСА
Рентгенологическое исследование при заболеваниях придаточных пазух носа всегда
начинают с выполнения рентгенографии в передней полуаксиальной (подбородочной)
проекции (см. рис. 54).

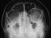
Рис. 54. Схема с электрорентгенограммы черепа в
передней полуаксиальной (подбородочной) проекции.
1—крыша глазницы; 2—скуловая кость; 3— альвеолярная бухта верхнечелюстной
пазухи;
4- пирамида височной кости;5-лобная пазуха; 6— полость носа; 7— угол нижней
челюсти; 8—1 шейный позвонок; 9—2 шейный позвонок.
Снимок в носоподбородочной проекции, как правило, менее информативен, так как обычно нижние отделы верхнечелюстных пазух перекрываются изображением пирамид височных костей. Снимок в подбородочной проекции целесообразно выполнять в вертикальном положении больного (у стойки с отсеивающей решеткой), так как в случае наличия жидкости в верхнечелюстной пазухе в этом положении она образует горизонтальный уровень и поэтому легко может быть выявлена. Снимок в полуаксиальной проекции наиболее информативен также и для оценки состояния лобных пазух и ячеек решетчатого лабиринта — передних и задних. Для уточнения некоторых деталей изображения придаточных пазух снимок в подбородочной проекции может быть дополнен снимком в носолобной или лобной проекциях (для оценки нижних отделов гайморовых пазух) и боковым снимком. (подробнее)

Весьма информативной методикой для выявления деструкции стенок пазух, а также внутрипазушных изменений является послойное исследование. Томографию и зонографию пазух проводят в носолобной, носоподбородочной и боковой проекциях; при этом наиболее информативными обычно оказываются томограммы, выполненные в носолобной проекции. Такие томограммы производят на глубинах от 3 до 6 см от плоскости стола томографа (см. рис.152).

рис.152
Томограммы в носоподбородочной проекции выполняют на глубине от 5 до 8 см от стола томографа (см. рис. 156);

рис. 156
боковые томограммы верхнечелюстных пазух производят в центральной плоскости пазухи (на глубине 3—4 см от стола томографа) и отступя от срединного слоя на 1 см в ту или другую сторону. При проведении зонографии верхнечелюстных пазух выполняют всего один снимок в каждой из проекций, соответствующий центральной плоскости пазухи. При этом на зонограммах отображаются детали строения пазухи в срезе толщиной от 3 до 4 см (см. рис. 153, 154).

рис. 153

рис. 154
С целью выявления нижних отделов верхнечелюстных пазух может быть произведена ортопантомография. Это исследование имеет существенное преимущество перед другими послойными методиками, так как позволяет установить связь изменений в верхнечелюстных пазухах с заболеваниями зубочелюстного аппарата
Для исследования верхнечелюстных пазух широко применяют
гайморографию с введением в полость пазухи рентгеноположительного
контрастного
вещества. Это исследование позволяет установить характер изменений слизистой
оболочки пазухи и выявить наличие внутрипазушных патологических образований Гайморография всегда должна выполняться только с одной стороны,
контрастировать одномоментно обе верхнечелюстные пазухи нецелесообразно, так как
при этом исключается возможность исследования пазух в боковой проекции из-за
суммации их изображения.
Кишковский А., Тютин Л., Есиновская Г. "Атлас укладок при рентгенологических исследованиях" Л., 1987